چه غذاهایی فشار چشم را بالا میبرد؟
یزدفردا: فشار چشم یا فشار داخل چشمی (IOP) یکی از عوامل کلیدی در سلامت چشم و بهویژه در بروز بیماریهایی مانند گلوکوم (آبسیاه) است ...
۷ فایده باورنکردنی چای زعفران برای سلامتی
یزدفردا: احتمالاً از عرضه محدود زعفران، کاربردهای بسیار متفاوتش در آشپزی و لقبش به عنوان گرانترین ادویه جهان آگاه هستید. ...
۱۰ خوراکی مفید برای زونا
یزدفردا: گاهی اوقات خوردم مواد غذایی مختلف به شما کمک میکنند که راه موثری برای درمان خانگی و مدیریت بیماری زونا پیدا کنید. ...
۵ خوراکی فوق العاده برای تقویت حافظه
یزدفردا: در عصر اینترنت، اطلاعات از همه طرف به دست میآیند، به همین دلیل مغز ما آنقدر اطلاعات جمع میکند که حتی نمیتواند چیزهای ...
این میوه پاییزی قاتل عفونتهای ویروسی است
یزدفردا: نارنگی میوه پاییزی، دارای مقادیر بسیارزیادی ویتامین سی است که هم سیستم ایمنی را تقویت میکند، هم به مبارزه با عفونتهای و ...
چای سبز از آنچه فکر میکنید مفیدتر است
یزدفردا: چای، پس از آب، پرمصرفترین نوشیدنی در جهان است و دلیل خوبی هم دارد: چای، بهویژه چای سبز، برای سلامتی بسیار مفید است. ...
قویترین آنتی اکسیدان طبیعی
یزدفردا: آنتی اکسیدانها ترکیباتی هستند که در بدن ساخته و در غذاها نیز یافت میشوند. این ترکیبات به دفاع از سلولها در برابر رادی ...
۱۴ فایده شگفتانگیز چای دارچین
یزدفردا: چای دارچین نوعی دمنوش گیاهی آرامشبخش است که یک جرعه از آن کل وجودمان را گرم و آرام میکند. ...
این میوه ریزش مو را متوقف میکند
یزدفردا: گواوا میوهای شیرین و عجیب بومی مکزیک، آمریکای مرکزی و آمریکای جنوبی است. هر میوه گواوا حاوی سه برابر ویتامین C مورد نیاز ...
خواص درمانی سنگ صفراوی گاو ؛ از طلا گرانتر است!
یزدفردا: سنگ صفراوی گاو در شرق آسیا در طب سنتی استفاده میشود و تقاضای بالا برای آن قیمتش را در برخی نقاط جهان از طلا بیشتر کرده ا ...
دانههای این میوه بهترین آسپرین است
یزدفردا: دانشمندان در دانههای گوجه فرنگی ماده طبیعی را پیدا کردند که میتواند با پیشگیری از لخته شدن خون در بدن به گردش طبیعی خون ...
چه کسانی نباید کنجد بخورند؟
یزدفردا: دانه کنجد در دسته مغزها و دانهها قرار میگیرد و مملو از چربیهای غیراشباع است. طبق اعلام انجمن قلب آمریکا، غذاهایی که ...
رفع یبوست با این مواد غذایی
یزدفردا: «یبوست» یک اصطلاح پزشکی برای وضعیتی است که فرد در آن دچار کاهش حرکات روده یا مشکل در دفع مدفوع شود. ...
خوراکیهایی که نباید این روزها بخورید
یزدفردا: از نگاه متخصصان طب سنتی، در ایام گرم سال و تابستان، توجه به تعادل مزاج بدن اهمیت زیادی دارد. در طب سنتی ایرانی، تابستان د ...
خواص شگفتانگیز آلوئه ورا
یزدفردا: احتمالاً شما هم مانند بسیاری از افراد دیگر در سالهای اخیر درباره فواید و مزایای گیاه آلوئهورا بهویژه برای پوست چیزهای ...
زنجبیل و خواص شگفتانگیز آن برای درمان، سلامتی و زیبایی
یزدفردا: زنجبیل گیاهی خوراکی، ادویه و دارویی است که به علت خواص بیشمار آن برای سلامت و درمان بیماریها بیش از چندین هزار سال است که ...
۱۰ روش خانگی برای درمان عفونت چشم
یزدفردا: عفونت چشم یکی از مشکلات شایع است که ممکن است به دلیل باکتریها، ویروسها یا قارچها به وجود آید و میتواند علائمی همچون ق ...
قهوههای لاغر کننده را بشناسید
یزدفردا: لاغری با استفاده از قهوه: برخی تحقیقات اخیر نشان دادهاند که نوشیدن منظم قهوه ممکن است در کاهش وزن مؤثر باشد. ...
این چای ترکیبی را برای لاغری امتحان کنید
یزدفردا: ترکیب بینظیر برگهای چای سیاه با ادویههایی نظیر زنجبیل، فلفل سیاه، هل، دارچین، رازیانه و میخک، عطر و طعم خاصی به این چا ...
۵ غذای سالم که باعث اضافه وزن میشوند
یزدفردا: در حالی که این غذاها دارای مواد مغذی متراکم و سرشار از فواید هستند، مهم است که به نحوه ادغام آنها در رژیم غذایی خود توج ...
نان تیره بخورید
یزدفردا: زهره پوراحمد به هموطنان توصیه کرد از نانهایی که با آرد کامل، خمیر ترش یا خمیر مایه تهیه شده اند استفاده کنند. ...
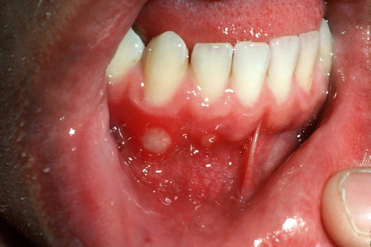
درمانهای خانگی برای آفت دهان
یزدفردا: آفت در داخل دهان یا روی لثهها ایجاد میشود. اگرچه آنها میتوانند دردناک باشند و صحبت کردن یا خوردن و آشامیدن را مشکل سا ...
خواص عجیب و غریب پاپایا برای سلامتی
یزدفردا: پاپایا یک میوه گرمسیری سرشار از ویتامین C و آنتی اکسیدان است. برخی از ترکیبات موجود در پاپایا ممکن است خواص ضد سرطانی داش ...
اثر چای سبز ماچا بر خواب و عملکرد شناختی-اجتماعی
یزدفردا: امروزه میلیونها نفر در آمریکا با زوال عقل دست و پنجه نرم میکنند و با استناد به گزارشهای انجمن آلزایمر، این تعداد کاهش ...
گوجه فرنگی را خام بخوریم یا پخته؛ خواص کدام بیشتر است؟!
یزدفردا: گوجه فرنگی، سرشار از مواد مغذی همچون پروتئین، ویتامین C، آهن، فیبر و پتاسیم است که هرکدام نقشی حیاتی در سلامتی دارند. اما ...
بهترین درمانها برای از بین بردن سیاهی زیر چشم
یزدفردا: درمانهای خانگی و حرفهای مختلفی برای درمان سیاهی زیر چشم وجود دارد، اما کدامیک بهترین است؟ ...
این دانه برای کاهش وزن معجزه میکند
یزدفردا: دانه کینوا حاوی مواد مغذی و مفید از جمله ویتامین E، منیزیم، کلسیم، ویتامین B و فیبر است. ...
مصرف این میوه خوشمزه شما را جوان نگه میدارد
یزدفردا: توت فرنگی، بیشتر از پرتقال ویتامین C دارد؛ ویتامین سی قدرتمندانه ضد پیری عمل میکند. ...
این میوه ویروسهای معده شما را از بین میبرد!
یزدفردا: آب انگور نوشیدنی پرطرفداری است که برای افزایش قدرت سیستم ایمنی بدن و جلوگیری از پیری زودرس مفید است. ...
خواص هلو برای کبد چرب
یزدفردا: هلو یکی از میوههای شیرین و آبدار تابستانی است که از گذشتههای دور به دلیل طعم و خواص بینظیرش محبوبیت دارد. این میوه، با ...






جمعه 02,ژانویه,2026